Diş Ekimi Yaptırmanın Faydaları Nelerdir?
Diş ekimi, kaybedilen dişlerin yerine yapay dişlerin yerleştirilmesi işlemidir. Bu yöntem, estetik ve fonksiyonel faydalar sunarak yaşam kalitesini artırır. Diş eksikliklerini gidermenin yanı sıra ağız sağlığını korumaya ve çiğneme fonksiyonunu yeniden kazandırmaya yardımcı olur.
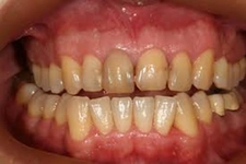
Diş ekimi, kaybedilen dişlerin yerine yapay dişlerin yerleştirilmesi işlemidir. Bu işlem, hem estetik hem de fonksiyonel açıdan birçok avantaj sunmaktadır. Diş ekimi, günümüzde diş hekimliği alanında en yaygın kullanılan yöntemlerden biri haline gelmiştir. Bu makalede, diş ekiminin faydaları detaylı bir şekilde ele alınacaktır. Diş Ekimi Nedir?Diş ekimi, kaybedilen dişlerin yerine cerrahi bir işlemle titanyum veya benzeri malzemelerden yapılan yapay diş köklerinin yerleştirilmesini içeren bir tedavi yöntemidir. Bu işlem, diş kaybının neden olduğu estetik kaygıları gidermenin yanı sıra, çiğneme fonksiyonunu da yeniden kazandırmaktadır. Diş Ekiminin Estetik FaydalarıDiş ekimi, hastaların gülümseme estetiğini önemli ölçüde iyileştirmektedir. Aşağıdaki avantajlar estetik açıdan dikkate değerdir:
Diş Ekiminin Fonksiyonel FaydalarıDiş ekiminin fonksiyonel avantajları da oldukça önemlidir. Bu avantajlar şunlardır:
Diş Ekiminin Sağlığa FaydalarıDiş ekimi, sadece estetik ve fonksiyonel avantajlar sunmakla kalmaz, aynı zamanda sağlık açısından da faydalar sağlar:
Diş Ekimi SüreciDiş ekimi süreci, genellikle birkaç aşamadan oluşur:
SonuçDiş ekimi, estetik, fonksiyonel ve sağlık açısından birçok avantaj sunan bir tedavi yöntemidir. Diş kaybı yaşayan bireylerin, diş ekimi yaptırarak yaşam kalitelerini artırmaları mümkündür. Diş hekimleri, hastaların ihtiyaçlarına uygun en iyi tedavi planını belirleyerek, diş ekimi sürecini başarıyla yönetebilir. Bu nedenle, diş kaybı yaşayan bireylerin bir diş hekimine danışmaları önerilmektedir. |

.webp)





























.webp)















Diş ekimi konusunda birçok bilgi var. Ancak, bu işlem sonrasında bir sorun yaşanma ihtimali var mı? Özellikle enfeksiyon ve vücut reddi gibi durumlarla karşılaşma olasılığı beni düşündürüyor. Diş ekimi yaptırmayı düşünen biri olarak, bu riskleri nasıl minimize edebilirim? Ayrıca, diş ekiminden sonra bakım süreci nasıl olmalı? Kendi deneyimlerinizi paylaşabilir misiniz?
Mail,
Diş Ekimi ve Riskler
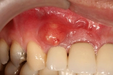
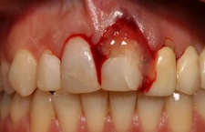
Diş ekimi, günümüzde oldukça yaygın bir işlem olmasına rağmen, her cerrahi müdahalede olduğu gibi bazı riskleri de beraberinde getirebilir. Enfeksiyon ve vücut reddi, bu işlemin potansiyel komplikasyonları arasında yer alır. Ancak, bu riskler uygun önlemlerle önemli ölçüde azaltılabilir.
Riskleri Minimize Etme Yöntemleri
1. Uzman Seçimi: Diş ekimi yapacak olan doktorun deneyimi ve uzmanlığı, işlemin güvenliği açısından kritik öneme sahiptir. Güvenilir bir hekim seçmek, komplikasyon riskini azaltır.
2. Steril Ortam: İşlem sırasında kullanılan aletlerin ve ortamın steril olmasına dikkat edilmelidir.
3. Hastanın Genel Sağlık Durumu: İşlem öncesi genel sağlık kontrolü yapmak, mevcut sağlık sorunlarının tespit edilmesine ve buna göre önlem alınmasına yardımcı olur.
4. İlaç Kullanımı: Doktorun önerdiği antibiyotik ve ağrı kesicilerin düzenli kullanımı enfeksiyon riskini azaltabilir.
Diş Ekiminden Sonra Bakım Süreci
Diş ekiminden sonra bakım süreci oldukça önemlidir. İşte dikkat edilmesi gereken bazı noktalar:
- Ağız Hijyeni: İşlem sonrası ağız hijyenine özen göstermek enfeksiyon riskini azaltır. Ancak, işlem bölgesine doğrudan zarar vermemek için nazik davranmak gerekir.
- Beslenme: İlk günlerde yumuşak ve sıvı gıdalar tüketmek, iyileşme sürecini kolaylaştırır.
- Kontrol Randevuları: Doktorun önerdiği kontrol randevularına zamanında gitmek, sürecin sağlıklı ilerlemesini sağlar.
Kendi deneyimim olarak, diş ekimi sonrasında dikkatli bir bakım süreci geçirerek enfeksiyon problemi yaşamamıştım. Ama her bireyin iyileşme süreci farklı olduğu için, bireysel durumunuza uygun önerileri hekimden almak en doğrusudur.
Umarım bu bilgiler sizin için faydalı olur. Geçmiş olsun!